Kezelési módok

A veleszületett gerincferdülés tekintetében

Congenitalis scoliosis (veleszületett gerincferdülés) esetén a gyermekeket általában konzervatív úton (fűző, gyógytorna, egyéb fejlesztés) nem kezelik, ezek nem szükségesek (nem hatásosak). Dévény-torna, más terápia nem szükséges, hiszen ezek a csontos struktúrát nem befolyásolják. Alapvetően mindig a gerincsebész szakember egyénileg dönt a kezelésről. Érdemi kezelés (megfigyelés) a gyermek stabil állása után, egyéves kor körül kezdhető.

A kezelés menete, kezelési módok

  • ELSŐ VIZSGÁLAT
  • MEGFIGYELÉS
  • MŰTÉT KISGYERMEKKORBAN
  • MŰTÉT ún. NÖVEKEDŐ RENDSZERREL
  • SÚLYOS ESETEK MŰTÉTI KEZELÉSE

Első vizsgálat

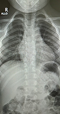
Csigolyafejlődési rendelenesség - röntgenA gyermek egyéves kora körül célszerű felkeresni az erre specializálódott szakembert, gerincsebészt. Amikor a gyermek stabilan tud állni, akkor kerül sor az első – álló helyzetű - röntgenfelvétel készítésére, amely informatív a szakemberek számára. Ennél korábban – fekvő – röntgenfelvételt nem érdemes készíttetni, hiszen terápiás jelentősége nincs, és a gyermeket lehetőség szerint óvni kell a sugárterheléstől, amit a röntgen jelent. Akkor is, ha már a magzati életben fennáll a csigolyafejlődési rendellenesség diagnózisa, csak a gyermek egyéves kora körül ajánlott a fent említett szakemberhez fordulni. Nagyon fontos, hogy a gyermek csigolyafejlődési rendellenessége miatt nem igényel speciális fejlesztést, tornát, terápiát az első hónapokban. A vizsgálat során a szakember fogja jelezni, hogy milyen gyakran szeretné látni a gyermeket, mikor esedékes a következő vizsgálat.

Megfigyelés

Csigolyafejlődési rendelenesség - röntgen Csigolyafejlődési rendelenesség - röntgen Az első vizsgálat után a gerincsebész dönt arról, milyen gyakran történjen kontrollvizsgálat. A csigolyafejlődési rendellenességgel élő gyermekeket a csontosodás befejeződésig (pubertás kor) gerincsebészi megfigyelés alatt tartják, ennek célja, hogy időben észrevegyék, ha a rendellenes csigolya miatt gerincferdülés alakul ki, amely kezelést igényel. A megfigyelés alatt tartott gyermeknek általában évente, vagy kétévente elegendő a gerincsebésznél megjelenni, és új röntgenfelvétellel ellenőrzik állapotát. A rendszeres kontrollvizsgálat lehetővé teszi, hogy – ha szükséges – időben történjen beavatkozás. A csigolyafejlődési rendellenességgel élő gyerekek sportolhatnak, mozgásban gazdag életet élhetnek, a gerincsebész útmutatásának betartásával. Gyógytornát, konzervatív kezelést nem igényelnek.

Műtét kisgyermekkorban

Csigolyafejlődési rendelenességHa a rendellenes csigolya, csigolyák már kisgyermekkorban gerincferdülést okoznak, elképzelhető, hogy a gerincsebész műtét mellett dönt. Ennek legkorábbi, egyúttal legjellemzőbb időpontja a gyermek 3-4 éves kora körül van. Nagyon fontos tudni, hogy ez - kisgyermekkorban végzett – operáció MEGELŐZŐ jellegű, tehát egy nagyobb görbület, súlyosabb állapot kialakulását szeretnék megakadályozni vele.
Jellemzői:
- relatív kis megterheléssel jár
- kevés implantátumot igénylő beavatkozás
- néhány napos kórházi befekvés szükséges
- rövid műtéti idő
- pár hét otthon lábadozás (nem szükséges gyógytorna, rehabilitáció)
- gyors felépülés
- mozgásban gazdag, teljes élet a műtétet követően
Az ún. open-wedge technikával történő műtét (dr. Jeszenszky nevéhez fűződő forradalmian új technika) a későbbiekben „nyújtásokat”, tehát további kisebb beavatkozásokat igényel.

Műtét úgynevezett növekedő rendszerrel

Csigolyafejlődési rendelenesség - röntgen Jellemzően már a nagyobb mértékű gerincferdülés kialakulásánál dönthet a gerincsebész ún. növekedő rendszeres műtéti kezelésről. Ezt a még növekedésben lévő gyermekeknél, tehát a csontérettség (pubertás) előtt alkalmazzák, és műtétek sorát jelenti. A módszer bravúrosnak tekinthető, hiszen egyszerre biztosítja a gerinc növekedését és a görbület korrigálását. Mivel több beavatkozásról van szó, mindenképp megterhelő, de ugyanúgy gyors felépüléssel, és teljes élet lehetőségével jár a gyermekek számára.

Súlyos esetek műtéti kezelése

Csigolyafejlődési rendelenesség - röntgenA csigolyafejlődési rendellenesség nagy progresszióra (romlásra) hajlamos elváltozás, súlyos gerincdeformitás, gerincferdülés kialakulásához vezethet. Korai diagnózisa, kompetens gerincsebész által történő rendszeres megfigyelése, vizsgálata ezért rendkívül fontos. A súlyos gerincdeformitás, gerincferdülés kezelése a csontos érettség beállta után (pubertáskorban, felnőttkorban) ún. gerinckorrekciós műtéttel történik. Ez egy nagyobb megterheléssel járó beavatkozás, amely hosszabb műtéti időt, több implantátum alkalmazását, jelentősebb műtéti kockázatot jelent, de a beavatkozást követően lényegében teljes élet élhető (a korrigált és implantátumokkal rögzített gerincszakaszhoz, vagy teljes gerinchez adaptált mozgás, sport, életmód).